諸君、ご謙遜かな?
腐ったみかんは俺かお前か?の腐ったみかんです。
去年の話ですが、歯医者に何度か行き、でも面倒くさくなったので、途中で歯医者にいかなくなり、治療途中で終わってしまっていたのだ。
そしてあの日・・・・
この日の帰りに事件が起きました。
そうです。
歯の詰め物が取れました(悲劇)
そうしてもうかれこれ、6か月以上が経過したある日・・・
は、歯がっ”!歯がっ!!歯がぁぁぁぁぁぁーーー!!!
あああああああああああああああああああああああー!!
ついにこの日が来たかぁぁぁぁぁぁ!!!

▲詰め物が外れた歯 なにこれ怖い(´;ω;`)ウゥゥ
- 歯はどういう状態だったのか?
- 神経を取り除く(根管治療)とは?
- 歯の詰め物が取れたらどうすれば?
- 歯の検査結果は?
- 歯に被せる銀(アマルガム)と白(コンポジットレジン)
- 問題は他にもあった
- まだあった
- 最後に
歯はどういう状態だったのか?
フフフ・・・
私の歯はね、神経をとっていたの。確かね。
神経がないから痛みを感じないの。全然気にならなかったの。
歯の神経をとってもいいかどうかは歯医者さんの説明を聞くのよ!
もう本当に私は歯医者が嫌いで歯が痛いのも治療でキュイーンてするのもマジで嫌なんだよね。死ぬほど、気を失うほどなので、「神経とりましょか?」で
神経抜いたんや。

▲今回の詰め物と関係ないけど、下の歯を見ておくれ
この歯も神経を取り除いているのだ。痛いのは嫌なのだ。
なんか3つぐらい差し込まれている。これは感染症を防ぐ薬なんだそうだ。
神経を取り除く(根管治療)とは?
歯医者で神経を抜く(根管治療)メリットとデメリットを以下に示します。
メリット:
1. 痛みの軽減: 感染や虫歯によって神経が損傷を受けると強い痛みが生じるため、神経を抜くことでその痛みを軽減できます。
2. 感染防止: 感染した神経を抜くことで、感染が他の歯や顎の骨に広がるのを防ぐことができます。
3. 歯を保存: 神経を抜くことで、歯を抜かずに済み、その歯を保存できる場合があります。
デメリット:
1. 感覚の喪失: 神経を抜くことにより、歯の感覚が鈍くなることがあります。
2. 色変化: 歯の内部に詰め物をするため、時間とともに歯の色が変わることがあります。
3. 再感染の可能性: 根管治療が完了しても、再感染する可能性があります。
神経を抜くかどうかは、歯の状態や症状に応じて歯医者と相談し、適切な治療法を選択することが重要です。
感染症を防ぐ薬はなんなのか?
根管治療において、歯の神経が感染している場合や治療のために神経を取り除いた後に、歯の中に薬物を打ち込むことがあります。この薬物は通常「根管充填薬」と呼ばれます。
根管充填薬の主な目的は以下の通りです:
1. 感染の除去: 薬物は残っている可能性のある細菌や感染を除去するために使用されます。
2. 炎症の軽減: 感染による炎症を軽減する効果があります。
3. 根管内の浄化: 歯の根管内に薬物を送り込むことで、歯の内部を浄化するのに役立ちます。
典型的な根管充填薬としては、抗生物質や抗炎症薬などが使用されることがあります。根管治療は、歯の健康を回復させる重要な治療法であり、適切な薬物の使用は治療の成功に不可欠です。
歯の詰め物が取れたらどうすれば?
本当はね、歯の詰め物が取れたら早急に歯医者に行くべきなのよ。
わかるでしょ?ピンチなの。あなたの歯!ピンチなの!!
詰め物が取れた場合、以下の手順を参考にしてください:
1. 歯を触らないように注意する:詰め物が取れた箇所を触らないようにし、できるだけ舌や食べ物が触れないようにします。
2. 取れた詰め物を保管する:詰め物が取れたら、できるだけ保管しておきましょう。歯科医がそれを見て、修復に役立つ場合があります。
3. 冷静に行動する:焦らず冷静に対処しましょう。痛みや不快感がある場合は、できるだけ早く歯科医に連絡しましょう。
4. 歯科医に連絡する:詰め物が取れたら、できるだけ早く歯科医に連絡して診察を受けるようにしてください。歯科医は詰め物の状態を確認し、適切な修復方法を提案してくれます。
5. 必要な処置を受ける:歯科医が詰め物の修復を行います。詰め物を再び固定するか、新しい詰め物を使用することがあります。歯が傷ついている場合は、それを修復するための処置が行われることもあります。
6. 歯のケアに注意する:詰め物が修復された後は、歯のケアに特に注意してください。定期的な歯磨きやフロス、口腔洗浄剤の使用など、歯の健康を保つためのケアを続けましょう。
大事なのは、できるだけ早く歯科医に相談することです。歯の問題は放置せず、適切な処置を受けることが重要です。
(*´Д`*)ああ・・・なんで私は放置してしまったんだwww
やだぁぁぁー!もう痛いのやだぁぁー!!
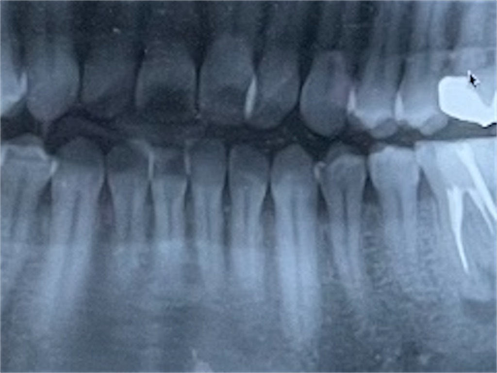
歯の検査結果は?

▲白いところは歯じゃないって話
検査の結果は・・・・・
別に何もなってなかったぁぁぁー!!
よかったぁぁぁー( ゚Д゚)ああああーーー!!
神経を抜いてた上の歯(今回の歯)は薬とかは全部なくなってしまってるんだけど、特に問題なさそうなので、薬の打ち込みはせずに詰め物をしてかぶせてOKなんだって!
痛いと思ってたところはその歯の隣の歯の歯茎になんか詰まってたのと、その歯の横部分に虫歯があるとのことでした。悲しい。こんにちは。新しい虫歯さん。
30分くらいで新しい詰め物をしてくれました。
※セメント?白いやつを詰めてくれました。
そして歯に被せるアイテムが保険適用で2パターンあるそうです。
歯に被せる銀(アマルガム)と白(コンポジットレジン)
銀(アマルガム)のメリット:
1. 耐久性: アマルガムは強固で耐久性があり、歯を長期間保護することができます。
2. コスト効率: アマルガムの充填は比較的安価であり、治療費用を抑えることができます。
3. 時間の節約: アマルガムの充填は比較的早く行えるため、治療にかかる時間が短くなることがあります。
銀(アマルガム)のデメリット:
1. 色の問題: アマルガムは銀色をしており、歯に被せた箇所が目立つ場合があります。
2. 健康への懸念: アマルガムには水銀が含まれており、一部の人々が健康への懸念を持っていますが、一般的に安全とされています。
白(コンポジットレジン)のメリット:
1. 視覚的に自然: コンポジットレジンは歯の色に近い色調であり、被せた箇所が自然に見えることがあります。
2. 歯の強度を向上: コンポジットレジンは接着力が高く、歯を補強し、割れや欠けを防ぐことができます。
3. 安全性: 水銀などの有害な物質を含まないため、健康的な選択肢とされています。
白(コンポジットレジン)のデメリット:
1. 耐久性: アマルガムに比べて耐久性がやや低く、寿命が短い場合があります。
2. コスト: コンポジットレジンの治療は一般的にアマルガムよりも高価です。
どちらの材料を選ぶかは、歯の状態や個人の好み、予算などを考慮して歯医者と相談することが重要です。
そして相談した結果・・・
やっぱり銀になりました。どうにも歯に圧力がかかる奥歯なので、強度の高いほうがいいってさ。白は見栄えはいいけど、強度が低いとのこと。
全然強度高いほうがいい!!銀に決めた!!
問題は他にもあった
あと一回治療にきて被せて終了だと思っていた。
そんなにも問題はないのだと思っていた。虫歯は指摘されたたけど、まぁまぁ悪くない結果だと自分で思ってた。

下の奥歯の神経抜いた薬を打ち込んだ下側を見てみ

黒いところ。
歯医者「感染してますね。」
( ゚Д゚)ぎゃあああああああああああああああああああああああああー!
感染しているそうで、治療を早くしてねととです。
大変ショックです。おもってたところと違うところが悪かったという悲しい事実・・・。
まだあった

歯医者「白い部分は歯ではないところなので、歯磨きの仕方をレクチャーしてもらってください。」
私「ええ・・?困惑」
ナースたち「はーい!この鏡を自分で持ってください。」
手鏡を持たされ、自分の歯を自分で鏡でうつるように持たされました。
ナースたち「歯を一本づつ磨きます。裏側からも一本づつ丁寧に磨きます。」
シャコシャコ
恥ずかしいすぎるぅぅ(*´Д`*)ぅぅぅぅぅー!!
みんなの前で説明されながら、自分の小汚い歯をみつつ、
お姉さんにシャコシャコされるの恥ずかしいすぎるぅぅぅぅぅぅうー!
ナースたち「はい、じゃあイーしてください」
あああ(*´Д`*)あああーーーー!!
別料金払うぅぅぅぅぅああああぁあぁぁっぁぁぁあーーー
ああぁぁぁーーーーー
あぁぁぁぁっぁー・・・
あ・・・・
あぁぁっぁあぁ
あぁぁぁぁぁぁぁ
ぁぁぁぁぁ・・・・(*´Д`*)
最後に
歯はね、大事なのよ。
歯から様々な病にかかることもあるみたいだし、何よりも生きていく上でのパフォーマンスはバチバチに下がってしまう。
詰め物が外れたらもう気になって仕方がないし、気持ちよく生きていけない。
なので、優先順位を上位にし、すぐにでも歯医者に行くべきだと思いました。
はみがきレクチャーは本当にね。
ヤバかったです。
おわり(いろんな意味で)











